السؤال : ما تقولون في مفسوح يصلي بالناس وبعض الحروف لا يخرج من فيه سويا لسقوط اسنانه او لقلة معرفته بمخارج الحروف هل يجوز الائتمام به ام لا ، الجواب ان كان يغير شيئا من المعنى افسد الصلوة ،
The above bayan is the extract from Kitab al-Hawashi-1
(Translation of the above bayan ) The question was asked by a scholarly person from Hind: What do you say about a person with missing teeth leading the Imamat Namaz, while some letters are not pronounced correctly, either due to the loss of his teeth or due to insufficient knowledge of the correct articulation points? Is it permissible to pray (follow the Imam) behind him or not?
The answer given by Duat Mutlaqeem RA of Yemen: If his mispronunciation changes the meaning, it invalidates the namaz.
Let’s evaluate how important the health of teeth and the mouth is for reciting and memorising the Qur’an.
The children are doing Hifz.
They’re sincere, they’re trying, but one or two letters just don’t come right.
Parents and teachers assume they need more practice, which is sometimes right. But sometimes, the issue may be different. It’s sometimes a medical condition which can be cured by proper practice under Muhaffiz’s guidance. We must remember that practice leads to improvement. Instead of telling a child that their articulation is incorrect, we should guide them patiently and demonstrate the correct way to produce the makharij.
Also we must remember that memorisation is mental, but recitation is a physical process. Any change in the child’s physical structure will affect it, no matter how hard the child tries. Let us try to understand it thoroughly. We talk about memory, discipline, and practice; all are important. But at the end of the day, every letter still has to come out through the combination of the following elements:
- Teeth
- Tongue
- lips
- Airflow from the stomach
- Nasal Passage (overall, the mouth is the most important thing)
The child may know the letter perfectly but still not be able to say it properly.
During the mixed dentition phase, especially, things get interesting.
- Front teeth missing
- Teeth coming in at odd angles
- Spacing or crowding
- Slight bite issues
All of these are normal growth.
But one thing we often overlook here is —
Those “temporary” baby teeth are not unimportant. They are actually doing very precise work.
Baby teeth:
- Hold space for permanent teeth
- Guide where the new teeth will come
- And during these years… they are actively involved in speech and recitation


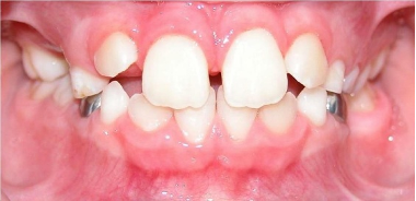
So when a baby tooth is lost at the right time, things usually adjust smoothly. Like in the image above, this space and irregular arrangements are temporary. They might affect speech for a short period of time, but there is nothing to worry about it. It usually gets back to normal as the adult teeth come in and adjust to their final positions.
But when there is early loss — due to decay or extraction — that’s where subtle problems begin. The neighbouring teeth start shifting. Space reduces or becomes uneven.
The permanent tooth may erupt slightly off position.

Now combine this with makharij.
The tongue is trying to find a contact point— but that point has changed. Or keeps changing. So what happens? The tongue doesn’t land in the same place every time. Air escapes differently. And you get that one stubborn sound that just won’t settle. And this is why preserving baby teeth till their natural time, and managing early loss properly,is far more important than we usually think —especially for children doing Hifz.
Habits that quietly affect speech (and we ignore them)
- Thumb sucking is not just a “cute habit”
Over time, it pushes front teeth forward and creates gaps → certain sounds stop coming clean. 
- Mouth breathing changes more than breathing. Lips stay open, tongue position shifts → speech clarity and airflow both get affected.
- Tongue thrusting goes unnoticed for years. The tongue keeps pushing against teeth while speaking/swallowing → leads to spacing and distorted sounds.

- Lip biting or suckingSubtle habit, but it affects how lips close and control certain letters.
- Keeping pencils or objects in the mouth while learning
Constant pressure on teeth + altered tongue position → small shifts that affect sound over time. - Small things parents often miss :
- When the child is unable to focus, we rush into labelling it as: distraction, laziness, or lack of interest.
- What could actually be causing it?
- Low-grade tooth pain
- Food getting stuck between teeth
- Gum irritation
- Sensitivity while speaking or touching certain teeth
- Erupting or shifting teeth
- Dry mouth
- Watch for:
- One letter always sounds different
- Child speaking softly to avoid effort
- Chewing only on one side
- Frequent hand-to-mouth / cheek
- Bad breath despite brushing
- Complaints of food getting stuck in teeth frequently
- There are usually signs that something in the mouth isn’t right. But they are most often ignored by us until there is a complaint of severe pain or visible swelling.
- Some very practical things to keep in mind :
- If your child suddenly prefers soft food → don’t ignore it
- It’s often their way of telling you something hurts.
- Night brushing matters more than morning
- Night brushing is more important than you think. Without brushing, the last food stays on their teeth for the entire night.UNDISTURBED. And with the decrease in salivary flow, the bacteria have all the more opportunity to cause decay.
- That “constant tongue touching one tooth” habit?
- Almost always means irritation or early decay there.
- Toothbrushing technique matters more than toothpaste brand
- Fancy toothpaste won’t fix poor brushing habits.
- Early loss of a baby tooth is not a small thing
- It can quietly affect how the next tooth comes and even how the child speaks.
- Water is underrated
- A few sips after eating naturally cleans the mouth better than we think.
- Dental visits are easier before there is a problem
- The first visit should not be when the child is already in pain.
- A 6-month dental visit is not just for cleaning
- It helps catch small problems your child may never complain about — before they start affecting eating, speaking, or focus.
- The Qur’an is recited through a physical system. For makharij to be accurate and memorisation to be sustainable, that system must be healthy and pain-free.
Syedna Mohammed Burhanuddin RA and Syedna Aali Qadr Mufaddal Saifuddin TUS have always emphasised the importance of oral health. They have consistently guided the Mumineen that children should brush their teeth before going to bed, and that parents must remain vigilant in ensuring this practice.For this very reason, under the guidance of Umoor Sehat, regular dental camps are organised to promote awareness and preventive care.
In Daim al-Islam, Volume 1, Syedna Qadi al-Nu‘man RA has dedicated an entire zikr (chapter) to the importance of siwak (oral hygiene). In this context, we can take the barakat from one zikr.
وانه قال صلع : نظفوا طريق القرآن ، قيل : وما طريق القرآن يا رسول الله ؟ قال : افواهكم يعني بالسواك
It is narrated that RasuAllah SA instructed, ‘Cleanse (maintain hygiene) the passage of the Qur’an.’
He SA was asked: ‘What is the passage of the Qur’an, O RasulAllah SA?’
He said: ‘Your mouths — that is, by using the siwak. (Brushing teeth regularly).
May Allah Ta’ala grant our Aqa Maula Syedna Aali Qadr Mufaddal Saifuddin Aaqa TUS a healthy and prosperous life till the day of judgement.
This article is written by Dr Zainab ben Rangwala (Dental surgeon) and Sk Husain bhai Amravatiwala.